
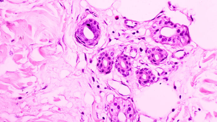
Передовое исследование американских специалистов раскрыло новые детали механизма развития онкологических заболеваний в твердых тканях организма. Ученым удалось установить, что клетки в жестких тканях подвергаются процессу растяжения ядерных пластин, что придает им особую гладкость и эластичность. Этот механизм оказался ключевым фактором в стремительном росте опухолевых образований.
Эксперт в области онкологии Евгений Черемушкин подчеркивает, что поведение клеток преимущественно обусловлено генетическими изменениями, а не их физическими характеристиками. Основную роль играют нарушения в программах клеточного функционирования и процессах деления.
Специалист отмечает, что изменение формы клеток не является определяющим фактором. Если бы данная взаимосвязь имела решающее значение, это открытие уже привело бы к существенному прорыву в онкологическом лечении. Выявленная особенность представляет собой лишь одну из многочисленных характеристик злокачественных клеток.
Современная наука признает комплексную природу онкологических заболеваний. Их развитие обусловлено сочетанием различных факторов, включая генетическую предрасположенность, социальные условия, особенности образа жизни и наличие вредных привычек. При этом основные механизмы развития заболевания хорошо изучены специалистами.
Ключевую роль играют геномы и системы регуляции клеточного поведения, особенно процессы деления. В нормальном состоянии клетки имеют запрограммированное количество делений, после которого происходит их естественная гибель. При онкологии этот механизм нарушается, что приводит к неконтролируемому размножению клеток. Поэтому главная задача исследователей — найти способ предотвращения этого патологического процесса.
Обнадеживающие новости приходят из области разработки инновационных методов лечения. Андрей Каприн, академик РАН и ведущий онколог Минздрава России, анонсировал начало клинических испытаний революционной онколитической вакцины. Первые пациенты примут участие в исследованиях на рубеже 2024-2025 годов. По словам академика РАН Александра Гинцбурга, пионерами в тестировании новой противораковой вакцины станут пациенты с меланомой и мелкоклеточным раком легких, что открывает новые перспективы в борьбе с этими серьезными заболеваниями.
Источник: vm.ru





