
Жительница английского города Глостер, Белла Бэйлисс, стала настоящим примером стойкости и оптимизма. Молодая женщина на протяжении нескольких лет сталкивалась с неприятными симптомами: вздутием живота, одышкой, а также покалыванием в конечностях. Несмотря на постоянные обращения к врачу и выраженную обеспокоенность своим состоянием, диагноз был установлен не сразу. И только спустя продолжительное время выяснилось, что основная причина ее недомогания — опухоль в желудке.
Ошибки диагностики и долгий путь к восстановлению
В начале 2019 года Белла начала замечать, что ее состояние ухудшается. Постоянное чувство переполненного желудка и упадок сил заставили ее подумать о возможной анемии. Однако во время первого визита в больницу ее жалобы были ошибочно связаны с «типичными женскими недомоганиями», и серьезной диагностики не последовало. Девушка интуитивно чувствовала — проблема куда серьезнее.
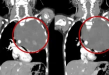
Длительное время Белле приходилось справляться с неприятными ощущениями самой, пока осенью 2019 года ее состояние не ухудшилось настолько, что потребовалась повторная госпитализация. В этот раз врачи не ограничились поверхностным осмотром и направили ее на эндоскопию. Исследование выявило в желудке Беллы шестисантиметровую стромальную опухоль — редкий тип образования, требующий незамедлительного вмешательства.
Из-за того, что болезнь долго оставалась без внимания, опухоль успела значительно вырасти. Врачи были вынуждены удалить 70% желудка, чтобы остановить дальнейшее развитие заболевания и дать Белле шанс на полноценную жизнь.
Благополучное восстановление и важность внимательного отношения к своему здоровью
Пройдя через сложную операцию и последующую реабилитацию, Белла Бэйлисс не теряет бодрости духа и продолжает вдохновлять окружающих своей историей. Она делится: если бы медицинская помощь была оказана вовремя, масштабы хирургического вмешательства могли быть гораздо скромнее, а восстановление — проще. Тем не менее, сегодня Белла чувствует себя лучше, ценит каждый день и благодарна медицинским специалистам за профессионализм и поддержку.
Эта история подчеркивает важность прислушиваться к своему организму и не игнорировать тревожные симптомы даже тогда, когда окружающие склонны их преуменьшать. Своевременная диагностика и настойчивость пациента способны изменить ход событий и спасти жизнь.
Не менее впечатляющая история произошла и с Кристал Мейк из Австралии. Она также долго не придавала значения боли в животе, полагая, что это последствия диеты и индивидуальной чувствительности к продуктам. К сожалению, поздняя диагностика выяснила, что главной причиной оказался рак кишечника, который был обнаружен лишь на поздней стадии. Опыт Кристал стал напоминанием: важно доверять своим ощущениям и при первых подозрениях обращаться ко специалистам.
Белла Бэйлисс и Кристал Мейк своим примером демонстрируют: даже самые тяжелые испытания можно преодолеть, сохраняя позитивный настрой и не сдаваясь перед лицом трудностей. Их истории важны для каждого, кто заботится о своем здоровье и не устает надеяться на лучшее.
Источник: vm.ru





