Угроза жизни: неожиданная находка у пятилетнего ребенка

В середине лета в одной из уфимских семей произошло событие, которое навсегда изменило их реальность. Молодая мама случайно обнаружила у своей пятилетней дочери небольшое уплотнение на шее. Сначала это казалось безобидным, но материнское чутьё не дало покоя: через несколько дней припухлость заметно увеличилась. Обеспокоенные родители немедленно обратились к врачам по месту жительства — так началась настоящая гонка со временем.
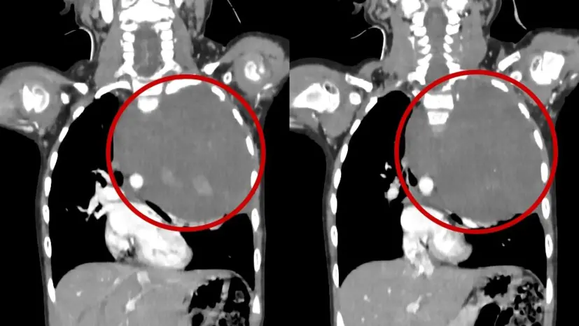
Компьютерная томография показала, что у малышки в грудной клетке притаилась огромная опухоль. Новообразование шириной 10 на 12 сантиметров распространялось в подключичную область и шею, занимая почти три четверти всей плевральной полости. Столь массивный опухолевый узел не просто заполнил внутреннее пространство — он угрожал сместить аорту, сдавливал сердце и легкое, а его ткани пронизывали жизненно важные сосуды.
Состояние малышки стабильно ухудшалось. Дальнейшее промедление было недопустимо: было принято экстренное решение — госпитализация в Российскую детскую клиническую больницу Минздрава России, где команде ведущих специалистов предстояло буквально разобраться с детской судьбой.
Запутанный диагноз: от неизвестности к точности
При поступлении в РДКБ пациенты всегда проходят повторную диагностику. Этот случай не стал исключением — каждое обследование, каждый снимок вызывали напряжение в команде врачей. Пугающие размеры опухоли оставляли мало места для маневра: аорта оказалась смещенной к центру грудной полости, а сердце и левое легкое почти полностью зажаты гигантским новообразованием.
Особую тревогу вызывало и то, что крупные сосуды — позвоночная артерия, питающая мозг, и подключичная артерия, обеспечивающая кровоснабжение руки, — пересекали опухолевую ткань. Ошибки здесь быть просто не могло.
Для начала специалисты провели биопсию. Первыми результатами врачи вздохнули с облегчением: новообразование определили как доброкачественное. Однако расслабляться не спешили. В подобных сложных случаях всегда существует вероятность, что в толще опухолевых тканей скрываются опасные клетки.
Операция на грани риска: искусство хирургии в деталях
Операция была неизбежна, однако обычные подходы оказались бы недостаточными. Евгений Андреев, заведующий отделением реконструктивной и восстановительной хирургии грудной полости РДКБ, стоял перед выбором: как получить полный контроль над областью вмешательства, не рискуя самыми хрупкими структурами детского организма?
Выбран был беспрецедентный метод хирургического доступа – «раковина моллюска»: разрез не ограничивался межреберными промежутками, а проходил через грудину, позволяя хирургу буквально раскрыть грудную клетку. Только так можно было визуально и инструментально контролировать расположение аорты, всех основных сосудов и цельно удалить опухоль колоссальных размеров.
Каждое движение скальпеля было сопряжено с риском: ошибка могла стоить жизни. Однако благодаря высочайшей слаженности команды, операция прошла без осложнений. Новообразование удалось извлечь единым блоком, минимизируя угрозу распространения патологических клеток.
Истинное лицо опухоли: окончательный диагноз
После операции наступило еще более интригующее время ожидания. Гистологическое исследование всего удаленного материала выявило — несмотря на первоначальную доброкачественность отдельных фрагментов, среди клеток скрывались признаки ганглионейробластомы. Этот агрессивный злокачественный процесс развивается стремительно и требует немедленной дальнейшей терапии.
Родителям пришлось принять непростое решение: несмотря на успешную операцию, ребёнку предстояло пройти сложнейшие курсы химиотерапии. Только так можно было победить недуг окончательно.
Шанс на новую жизнь: восстановление после угрозы
Вопреки всем страхам, девочка быстро пошла на поправку. Спустя короткое время после хирургического вмешательства она вернулась домой, где в окружении семьи начала долгий путь восстановления. Отныне регулярные курсы химиотерапии проводились по месту жительства, медицинское сопровождение строгое и непрерывное.
Сегодня, спустя несколько месяцев после тяжелых испытаний, малышка не только чувствует себя хорошо, но и дарит окружающим веру в чудо современной медицины. Для семьи это настоящая победа, а для врачей РДКБ — еще одно подтверждение тому, что даже в самых отчаянных ситуациях есть место мужеству, знаниям и безграничному желанию спасать жизни.
Источник: russian.rt.com





